Carrello
0
Chi Siamo
La Parodontite
Il Dentista Risponde
Video
Foto
Dove Siamo
Contattaci
Carrello
0
Chi Siamo
La Parodontite
Il Dentista Risponde
Video
Foto
Dove Siamo
Contattaci
Centro Odontoiatrico Specializzato
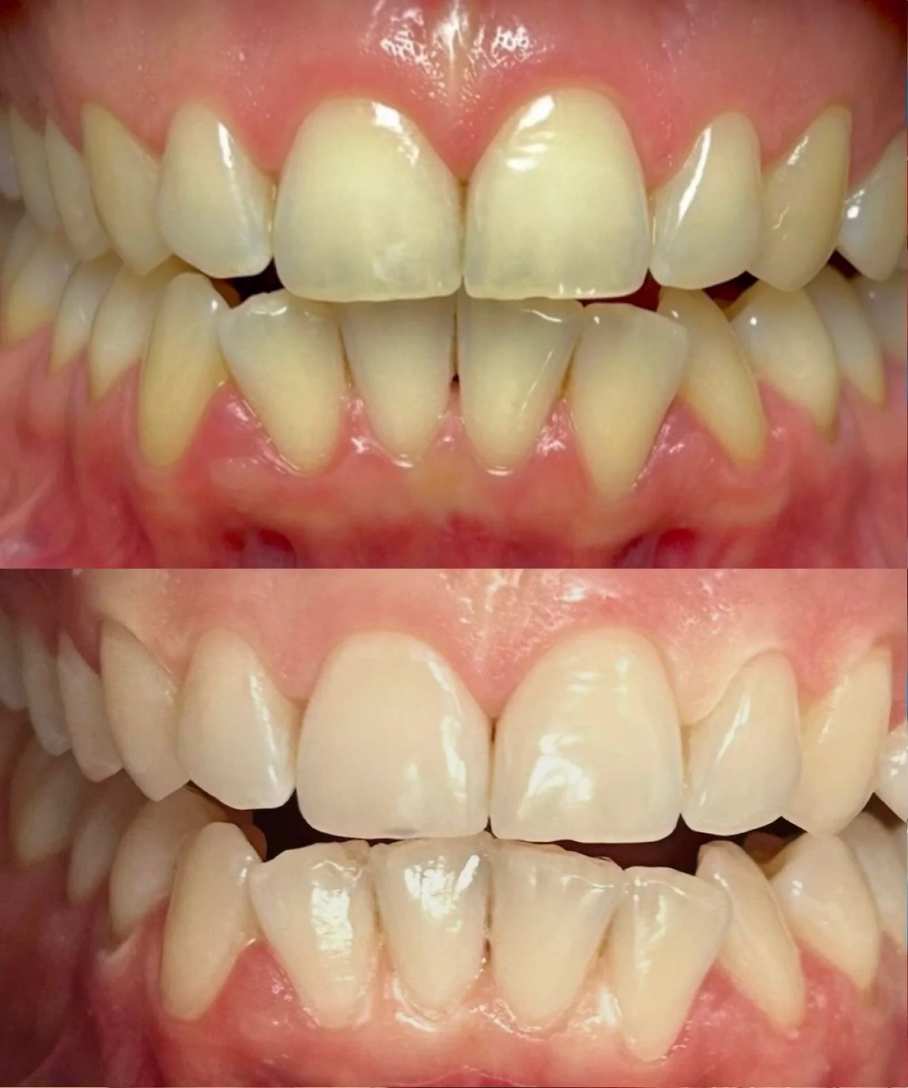
I NOSTRI CASI CLINICI
Da una corretta diagnosi scaturisce la giusta terapia
HOME